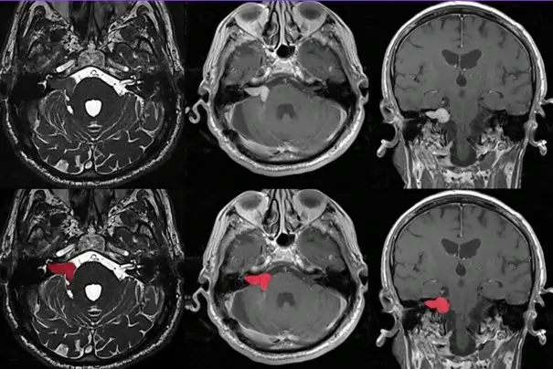
Le schwannome vestibulaire, aussi appelé neurinome de l’acoustique, est une tumeur bénigne – non cancéreuse – du nerf cochléo-vestibulaire, lequel est impliqué dans l’audition et l’équilibre. Cette tumeur logée entre le cervelet et l’oreille interne évolue presque toujours lentement, avec une progression des symptômes assez lente, suffisamment lente pour que le sujet atteint s’habitue et s’adapte inconsciemment à certains changements d’audition ou vestibulaires.
Néanmoins un stade est souvent atteint auquel des symptômes se font ressentir ; en général une baisse d’audition, on parle de surdité de perception unilatérale progressive. Cela mène à des tests ORL, une audiométrie, et surtout une IRM permettant de poser le diagnostic médical. Parfois ces symptômes apparaissent brutalement avec des vertiges, instabilités, acouphènes, sensation de pression ou d’oreille pleine, et même des faiblesses au visage témoignant d’une contrainte sur le nerf facial passant par cette zone.
Le traitement dépend des symptômes, et essentiellement du volume de la tumeur et de l’évolution de ce dernier. En effet, plus le volume est important et handicapant, plus la chirurgie sera proposée. A l’inverse, les plus petits schwannomes vestibulaires, sans troubles ressentis, ne recevront même pas de traitement et seront suivis par IRM. Ainsi plusieurs classifications ont été élaborées pour quantifier ce volume, ainsi que le rapport de ce dernier vis-à-vis des structures environnantes.

Un autre traitement très utilisé et le « Gamma Knife », de plus en plus fiable et perfectionné. On parle toujours de chirurgie même s’il n’y a pas d’incision ; C’est une « radiochirurgie » sous contrôle d’un neurochirurgien, délivrant une certaine quantité d’énergie sur une zone très précise, en l’occurrence le schwannome. La tumeur n’est ainsi pas extraite, mais va perdre sa capacité de croissance et se dégrader ou se nécroser. En général une séance suffit, avec un effet étalé dans le temps, sur plusieurs semaines, voire mois ou années. Un suivi IRM sur plusieurs années et alors mis en place.
La rééducation vestibulaire aura une place variable dans ce contexte : l’intervention chirurgicale ou par irradiation peut affecter une fonction vestibulaire résiduelle, auquel cas une asymétrie brutale entre les 2 vestibules apparaîtra. Il faudra donc rééduquer cette dernière pour stimuler au plus vite la compensation. En revanche si la fonction vestibulaire était déjà perdue avant l’intervention, c’est essentiellement un travail d’équilibration qu’il faudra mettre en place.
L’aspect psycho-émotionnel peut par ailleurs prendre une part non négligeable : les symptômes en cause sont par nature handicapants et stressants, voire même angoissants (instabilités, acouphènes, vertiges, perte d’audition, fatigue, parfois maux de tête, troubles des muscles faciaux, etc). L’impact sur la vie professionnelle et familiale peut être considérable, alors que les patients peuvent ressentir une carence d’information, se sentir démunis. Aussi il n’est pas rare que ces derniers s’auto-informent sur internet et sur des groupes facebook de patients. Ce phénomène apporte des ressources et du soutien aux patients, lequel peut être précieux. Mais cela peut aussi mener à de la désinformation et du stress de sur-information ; ces groupes de partages peuvent maintenir le patient dans une bulle permanente autour du sujet, avec une forme de pression empêchant paradoxalement une reprise du cours normal de la vie.
Au final cette tumeur dite bénigne peut tout de même avoir une grande répercussion sur la vie quotidienne, et le traitement médical n’est qu’une partie de la prise en charge. L’enjeu est un « retour à une vie normale », ce qui peut passer paradoxalement par un travail sur soi, d’acceptation, d’adaptation, de modification d’habitudes…
